Die 3 Rs - Keratin
Übersicht
Überblick
Schlüsselwörter: Biobasierte Produkte, Biomasse
Disziplinen: Biologie, Chemie, Wirtschaft
Altersstufe der Schüler: Primar- und Sekundarstufe (jedes Kapitel verfügt über eine grundlegende Laborübung, die sich für die Primarstufe eignet und eine zusätzliche für die Sekundarstufe; Zulassung der Chemikalien für die jeweilige Altersstufen bitte prüfen)
Zeitrahmen: 45 - 90 Minuten pro Übung
Partner: Laden Sie Wissenschaftler*innen ein, eine Unterrichtsstunde zu halten, oder besuchen Sie mit Ihrer Klasse ein Unternehmen, das biobasierte Produkte herstellt.
![]()
Die Idee
Das Projekt zielt auf die Wiederverwendung von Wolle ab, die bei unsachgemäßer Entsorgung eine Quelle der Umweltverschmutzung darstellt. In vielen Ländern der Europäischen Union wird Wolle als Rohprodukt ohne seine Anwendungsmöglichkeiten betrachtet.
Wolle
Wolle ist eine natürliche Textilfaser, die hauptsächlich aus dem Fell von Schafen, einigen Ziegenarten und Kaninchen gewonnen wird. Morphologisch gesehen besteht die Wollfaser aus einer äußeren Schicht, die sich aus flachen, sich überlappenden Zellen zusammensetzen, einer inneren Struktur und einem Mark. Aus chemischer Sicht ist die Wollfaser ein Proteinpolymer, das aus Keratin besteht. Keratin ist ein Strukturprotein, das aus langen Ketten von Aminosäuren gemacht ist und eine hohe Konzentration an Cystein aufweist. Es bildet die Haare, Wolle, Federn, Nägel und Hörner vieler Tierarten.
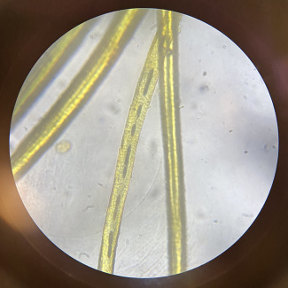
Mikroskopie
Ein guter Einstieg in das Thema ist der Vergleich von Wolle und Kunstfasern unter dem Mikroskop.
Die mikroskopische Betrachtung von Fasern dient dazu, Naturfasern wie Wolle, Baumwolle oder Leinen von synthetischen Chemiefasern zu unterscheiden. Die Unterscheidung erfolgt durch den Vergleich von Längsschnitt und Querschnitt.
Wolle erscheint im Längsschnitt zylindrisch, unregelmäßig, hat eine raue Oberfläche und eine schuppenartige Struktur, und auf groben Wollfasern kann ein dunkles Mark erscheinen. Im Querschnitt sieht die Wolle fast rund oder kreisförmig aus, und es kann ein Mark erscheinen.[3]
Für den Fall, dass Sie keinen Zugang zu einem Mikroskop haben, finden Sie hier einige Beispiele von Alpaka- und Kaschmirwollfasern, natürlichen Leinenfasern, synthetischem Polyester und Viskose.
Alpacawollfaser (1) unter dem Mikroskop
Alpacawollfaser (2) unter dem Mikroskop
Kaschmirfaser unter dem Mikroskop
Leinenfaser unter dem Mikroskop
Polyesterfaser unter dem Mikroskop
Viskose Faser unter dem Mikroskop
Ziel: Untersuchung von Textilfasern unter einem Mikroskop
Benötigte Arbeitsmittel: Objektträger, Deckglas, Pinzette, Textilfasern (Baumwolle, Wolle, Seide)
Lösungen: destilliertes Wasser, Lugolsche Lösung
Ablauf
- Entnehmen Sie eine Textilprobe mit einer Pinzette, so dass Sie ein paar isolierte Fasern erhalten.
- Legen Sie diese auf einen Objektträger, fügen Sie a) einen Tropfen Wasser und b) einen Tropfen Lugolsche Lösung hinzu und decken Sie die Probe mit dem Deckglas ab.
- Befestigen Sie den Objektträger auf dem Objekttisch, fokussieren Sie das Objektiv und schauen Sie sich die Faser genau an.
- Vergleichen Sie die beiden Präparate.
Ergebnisse
Die Schüler*innen können ihre Beobachtungen notieren. Sie identifizieren die Art der Fasern mithilfe des Diagramms.
Sie können das Bestimmungsblatt hier als docx und als pdf-Datei herunterladen.
Keratinextraktion und Herstellung einer Haarspülung
Im Chemielabor können Sie das Keratin extrahieren und die Bestandteile von Wolle untersuchen.
Der Versuch besteht aus:
- der Extraktion von Keratin aus Wolle mit einer geeigneten Extraktionslösung;
- der Ausflockung von Keratin unter Verwendung eines Proteindenaturierungsmittels;
- der Rückgewinnung von Keratinpulver durch Dekantieren oder Zentrifugieren.
Das Video "Kreatinextraktion" illustriert die im Text beschriebene Versuchsdurchführung. Die Untertitel sind in englischer Sprache.
Materialien
- Raue Wollfasern (die Wolle muss unbehandelt sein).
- Natriumhydroxid (NaOH), (c = 1 mol/L; alternativ c = 0,5 mol/L)
- Becherglas
- Glasstab
- Handschuhe
- Laborkittel
- Schutzbrille

Methode
Bitte beachten: Bei diesem Experiment müssen Schutzhandschuhe, ein Laborkittel und eine Schutzbrille getragen werden.
Die Wollfasern werden in ein Becherglas gegeben, mit der Natriumhydroxidlösung bedeckt und mit einem Glasstab nach unten gedrückt. Die Wolle muss vollständig von der Extraktionslösung bedeckt sein.
Die angegebene Zeit (mindestens 1-2 Stunden) bezieht sich auf die Verwendung einer 1,0-M-Lösung; alternativ kann auch eine weniger konzentrierte Lösung (0,5 M) verwendet und die Mischung über Nacht stehen gelassen werden.

Nach Ablauf der Zeit wird ein Teil der Fasern entnommen und das Aussehen untersucht.
Beobachtung
- Erscheinungsbild der Wolle vor der Extraktion: z. B. weiße Farbe, weich, kräuselnd
- Aussehen der Wolle nach dem Experiment: z. B. Die Wolle nimmt eine dunkle Farbe und ein gallertartiges Aussehen an.
- Aussehen der Extraktionslösung am Ende des Experiments: z. B. Die klare und farblose Lösung zu Beginn wird dunkel und trüb.
Diskussion
1. Glaubst du, dass eine chemische Reaktion stattgefunden hat, die die Wolle irgendwie verändert hat?
Die beobachteten Veränderungen im Aussehen der Fasern, sowohl in Bezug auf die Farbveränderung als auch auf die Trübung der Lösung, deuten darauf hin, dass chemische Reaktionen stattgefunden haben.
2. Kannst du Vermutungen darüber anstellen, welche Art von Veränderungen auf molekularer Ebene stattgefunden haben könnten?
Durch die Extraktion des Keratins mit Natriumhydroxidlösung kommt es zu einer Denaturierung mit einem teilweisen Abbau des Proteins.
Keratin kann extrahiert werden, ohne dass es abgebaut wird, aber der Extraktionsprozess ist langwierig und daher ein schwieriges Unterfangen in der Laborumgebung. Die nicht abbauende Extraktion erfolgt mit Natriumsulfit, das die Schwefelbrücken und Urea bricht (Denaturierungsmittel).
Nach der Extraktion des Keratins mit einer Natriumhydroxidlösung wird das vorhandene Protein in der Lösung ausgeflockt, wobei verschiedene ebenfalls gebräuchliche Substanzen verwendet werden.
Durch Umfüllen und Trocknen kann Keratinpulver gewonnen werden. Eine andere Methode hierfür wäre die Zentrifugation, die schneller ist, für die aber eine Zentrifuge benötigt wird. Das Dekantieren und Trocknen ist langsamer, kann aber in jeder Schule durchgeführt werden.
Materialien
- Keratinlösung in NaOH
- Ethanol (CH3CH2OH)
- Aceton (Propanol, CH3-CO-CH3)
- Zitronensäure 6% (Ac. 3-Carboxy-3-hydroxy-1,5-pentanedium, C6H8O7)
- Pipetten
- Reagenzgläser
- Weißweinessig
- Petrischale
- Zitronensaft
- Schutzbrille
- Schutzhandschuhe
Methode
Für das Experiment sind Schutzhandschuhe und Schutzbrille unabdingbar.
Den Zitronensaft abseihen. Es ist notwendig, den Zitronensaft zu filtern, um die Trübung zu verringern.
Hinweis: Zitronensäure in 6-prozentiger Lösung hat einen ähnlichen pH-Wert wie Zitrone, daher kann auch Zitronensäurelösung anstelle von Zitronensaft verwendet werden. In diesem Experiment kommt beides zum Einsatz, um zu verdeutlichen, dass alltägliche Stoffe wie Zitronen und Essig als chemische Reagenzien verwendet werden können. Es ist auch interessant, die Schichtung des Proteins mit Zitronensaft zu beobachten.
Fünf beschriftete Reagenzgläser werden benötigt. In diese werden 10 ml verschiedener Lösungen gegeben: Ethanol, Aceton, Zitronensäure, Essig, Zitronensaft.
Danach werden etwa 1-2 ml der Extraktionslösung tropfenweise in jedes Reagenzglas gegeben. Die Beobachtungen werden in eineTabelle eingetragen.

v.l.n.r.: Aceton, Ethanol, Essig, Zitronensaft
Abschließend wird der Inhalt jedes Reagenzglases in eine Petrischale gegossen. Die Flüssigkeit lässt man verdunsten. Das übriggebliebene Keratin wird vor einem dunklen Hintergrund untersucht.

v.l.n.r: Ethanol, Acetone, Essig, Zitronensäure, Zitronensaft
Diskussion
Glaubst du, dass eine chemische Reaktion stattgefunden hat, die die Wolle irgendwie verändert hat?
Die beobachteten Veränderungen im Aussehen der Fasern, sowohl in Bezug auf die Farbveränderung als auch auf die Trübung der Lösung, deuten darauf hin, dass chemische Reaktionen stattgefunden haben.
Kannst du Vermutungen darüber anstellen, welche Art von Veränderungen auf molekularer Ebene stattgefunden haben könnten?
Die Ausfällung (oder Proteinausflockung) kann auf verschiedene Weise erfolgen:
1. Induziert durch den pH-Wert: durch Veränderung des pH-Werts der Lösung, z. B. durch Zugabe von Essigsäure, um sich dem isoelektrischen Punkt (pI oder pHi) des Proteins zu nähern.
2. Variation des Lösungsmittels: Die Dielektrizitätskonstante eines Lösungsmittels hat Einfluss auf die elektrostatischen Wechselwirkungen zwischen den Proteinen, was zur Ausflockung führt (Bildung von Wasserstoffbrückenbindungen). Eine schwache Dielektrizitätskonstante (z. B. in Ethanol oder Aceton) verringert tendenziell die Löslichkeit eines Proteins.
Die Ausflockung unterscheidet sich, je nachdem, ob sie durch den pH-Wert oder durch Lösungsmittelschwankungen ausgelöst wird.
Sie können nun das extrahierte Keratin verwenden, um Ihre eigene Haarspülung herzustellen! [3]
Das Video "Haarspülung" illustriert die im Text beschriebene Versuchsdurchführung. Die Untertitel sind in englischer Sprache.
Verfahren zur Extraktion von Keratin
Materialien und Chemikalien
- 5 g Rohwolle
- Becherglas
- Waage
- Natriumhydroxidlösung (c = 1 mol/L)
- Büchnertrichter
- Rundfilterpapier
- Erlenmeyerkolben
- Essigsäure
- Zentrifuge
- Uhrglas
Für das Experiment ist das Tragen einer Schutzbrille, eines Laborkittels und von Handschuhen notwendig.
- Etwa 5 g Rohwolle in einem Becherglas abwiegen und mit 150 ml 1 mol/l NaOH versetzt.
- Etwa 20 bis 30 Minuten warten, damit die NaOH einwirken kann
- Den Extrakt durch einen Büchnertrichter mit Rundfilterpapier in einen Erlenmeyerkolben überführen.
- Unter einem Abzug wird Essigsäure tropfenweise in den Extrakt gegeben bis Kristalle ausflocken (Ausflockung des Keratins)
- Die Keratinkristalle durch Zentrifugation von der Lösung trennen. Wenn keine Zentrifuge in der Schule vorhanden ist, kann das Keratin auch durch Dekantieren gewonnen werden, wie hier beschrieben. Dieser Vorgang dauert länger als die Zentrifugation.
- Das Keratin in ein Uhrglas überführen und trocknen.
Keratin-Spülung
Für 50 ml des Produkts werden folgende folgende Bestandteile in ein Becherglas abgefüllt:
- 7,5 g einer 25%igen m/V-Keratinlösung in Glycerin
- 3 g Cetylalkohol,
- 7,5 g Sheabutter,
- 7 g Mandelöl und
- 7 g Zitronensäure (Konservierungsmittel)
Das Becherglas in ein Wasserbad stellen und erhitzen, bis die Zutaten geschmolzen sind. 1-2 Tropfen eines ätherischen Öls der Wahl hinzufügen.
Das entstandene Produkt in einen Behälter füllen.
Umfüllen des Extrakts in einen Erlenmeyerkolben mit Hilfe eines Filters
Der gefilterte Keratinextrakt in einem Erlenmeyerkolben
Zugabe von Essigsäure zum Extrakt, bis dieser ausflockt
Zugabe von Essigsäure zum Extrakt, bis dieser ausflockt
Zugabe von Essigsäure zum Extrakt, bis dieser ausflockt
Trockenes Keratinpulver
Die Haarspülung in einem Becherglas
Färben der Wolle
Für Kinder ist das Färben von Wolle mit Naturfarben ein Experiment, das ihnen Spaß macht und sowohl einfacher als auch sicherer als die anderen hier vorgestellten Akitivitäten sind.
Bei dieser Aufgabe werden zwei Ziele verfolgt:
- Die Abfallwolle wird attraktiver, weil sie gefärbt und somit wiederverwendbar ist.
- Die Verwendung von natürlichen Farbstoffen für Textilfasern wird erforscht.
Natürliche Farbstoffe werden aus Pflanzen, wirbellosen Meerestieren, Algen sowie aus Bakterien und Pilzen gewonnen. Sie können als Extrakt oder in Pulverform erworben werden, und aus jeder Pflanze kann eine beträchtliche Anzahl verschiedener Farbtöne gewonnen werden.
Wir stellen zwei Verfahren vor: Das erste ist sehr einfach und kann mit Kurkumawurzel oder -pulver zum Färben der Wolle durchgeführt werden. Das zweite Verfahren ist recht kompliziert und verwendet Beizmittel und Rotkohl.
- Pflanze: Curcuma longa
- Für die Tinktur verwendeter Teil: zerstoßene Wurzel
- Farbstoff: Curcumin

Materialien und Chemikalien
- Wasser
- Becher oder Topf
- Wolle oder andere Naturfasern
Verfahren
- Die Wolle wird gewogen und bei Raumtemperatur in Wasser eingetaucht, bis sie vollständig bedeckt ist.
- Zur Herstellung des Farbstoffs muss die Kurkumawurzel zerkleinert werden. Es wird die Hälfte des Gewicht des trockenen Garns benötigt. Andernfalls kann direkt Kurkumapulver in einer Menge von 5-10 % des Gewichts verwendet werden.
- Die zerkleinerte Wurzel beziehungsweise das Pulver wird in Wasser aufgelöst.
- Das gelöste Pulver wird zu dem Wasser-Wolle-Gemisch gegeben.
- Alles nun 20-30 Minuten kochen lassen.

Das Video "Färben mit Kurkuma" illustriert die im Text beschriebene Versuchsdurchführung.
- Pflanze: Brassica oleracea convar. capitata var. rubra
- Zum Färben verwendeter Teil: Blätter
- Farbstoff: Anthocyane

Das Gewicht des Kohls muss etwa das 60-fache des Gewichts des Gewebes ausmachen.
Materialien und Chemikalien
- Handschuhe
- Rotkohl
- Alaunpulver (hydratisiertes doppeltes Aluminium-Kaliumsulfat-Salz)
- Kaliumhydrogentartrat (Felsalaun (Aluminiumkaliumsulfat, das ein echtes Ätzmittel ist) wird zu 10-15 Massenprozent und Kaliumhydrogentartrat, das die durch das Ätzen gehärtete Wolle aufweicht, zu 5 Massenprozent verwendet. Die Prozentangaben beziehen sich auf die zu behandelnde Trockenwolle. Das heißt, für 100 g trockene Wolle werden 10-15 g Alaun und 5 g Kaliumhydrogentartrat benötigt).
- Wasser
- Gewaschene Wolle
- Topf aus rostfreiem Stahl
- Schüsseln aus rostfreiem Stahl
Das Beizen der Wolle
Dieses Verfahren wirkt auf die Wolle bzw. allgemein auf die Naturfaser. Die wasserlöslichen Farbstoffe im Bad werden dauerhaft und unauslöschlich auf den Fasern fixiert.
Dieser Prozess wird als Beizenfärbung bezeichnet. Sie ist das wichtigste Verfahren zur Vorbereitung der Fasern auf die Farbaufnahme und trägt dazu bei, dass die Farben besonders haltbar und langlebig sind. Wenn Sie das Material, das Sie natürlich färben wollen, nicht beizen, wäscht sich die Farbe aus, wenn Sie den Färbeprozess beenden.
Verfahren zum Beizen
- Vor dem Ätzen: Die zuvor gewaschene Wolle drei Minuten in Wasser einweichen
- Alaun und Weinstein in den oben genannten Mengenverhältnissen abwiegen
- Etwa 200 ml Wasser in einem kleinen Topf zum Erhitzen bringen
- 15 g Alaun und 5 g Weinstein in 200 ml Wasser einrühren und auflösen
- 2-3 l Wasser pro 100 g trockener Wolle in einen größeren Topf füllen, die Ätzlösung hinzugeben und die nasse Wolle eintauchen
- Eine Stunde lang köcheln lassen und häufig umrühren.
- Die Wolle in der Ätzlösung abkühlen lassen
- Die Wolle sehr gut mit kaltem oder warmem Wasser ausspülen.
Die verwendeten Behälter müssen aus rostfreiem Stahl bestehen. Aluminium wird nicht empfohlen, da es die Farben verändern kann.
Verfahren zum Färben
Den Rotkohl in dünne Streifen schneiden. Einen Topf mit Wasser auf 60 °C erhitzen.
Den Rotkohl in den Topf geben und ihn etwa 30-40 Minuten lang erwärmen, um die Anthocyane aus dem Gemüse zu extrahieren. Wenn das Wasser zu kochen beginnt, den Topf für einen Moment vom Herd nehmen.
Wenn der Rotkohl kocht, wird ein Teil des potenziellen Farbstoffs zerstört!
- Die Kochflüssigkeit des Rotkohls abseihen und in einen anderen Topf gießen.
- Die gebeizte Wolle in den Topf mit dem gefärbten Wasser geben und die Wolle vorsichtig nach unten drücken, damit sie eintaucht. Die Wolle im Topf vorsichtig zusammendrücken, um sicherzustellen, dass alle Fasern das Färbewasser aufnehmen.
- Die Hitze auf mittlere bis niedrige Stufe stellen und die Wolle eine Stunde lang im Topf einweichen lassen. Es ist sehr wichtig, dass das Wasser in diesem Schritt nicht kocht.
- Die Wolle aus dem Farbbad nehmen und sie vorsichtig ausspülen
- Die Wolle verteilen und über Nacht trocknen lassen
Die Farbe des Rotkohls variiert je nach pH-Wert und Gewebe.
Bei einem sauren pH-Wert entsteht eine rötliche Farbe, während bei einem basischen pH-Wert eine grünlich-blaue Farbe entsteht.
In unserem Fall ist die Wolle hellviolett geworden, wie auf dem Foto zu sehen ist.

Das Video "Färben mit Beize (Rotkohl)" illustriert die im Text beschriebene Versuchsdurchführung.
Rückgewinnung von Schwermetallen aus Wasser
Ein Beispiel für eine alternative Verwendung von Wolle ist die Fähigkeit, Metallionen aus Wasser zu adsorbieren und wiederzugewinnen. Die Fähigkeit von Wolle, Kupfer zu adsorbieren, lässt sich mit einem Teststreifen oder einer einfachen kolorimetrischen Reihe quantifizieren.
In den letzten Jahren wurden die verschiedenen Anwendungsmöglichkeiten von Wolle untersucht. Insbesondere wurde festgestellt, dass Wolle zur Sanierung von mit Schwermetallen kontaminierten Böden verwendet werden kann. Die Verwendung von Wolle in diesem Sinne hätte einen doppelten Zweck: Sie würde zur Beseitigung von überschüssiger Wolle beitragen und ein völlig natürliches Material verwenden.
Materialien und Chemikalien
- Wolle
- Kupfersulfatlösung (c = 1,25 mmol/L)
- 2 Kupferteststreifen
- 2 Bechergläser (50 mL)
- Glasstab
- Handschuhe
- Schützender Laborkittel
- 7 Reagenzgläser
- Kupfer-Teststreifen
Verfahren
Das Tragen einer Schutzbrille und eines Laborkittels wird empfohlen.
Je 20 ml der Kupfersulfatlösung in 2 Bechergläser gießen
Ein Becherglas wird als Referenz dienen. Ein Stück Wolle in das zweite Becherglas geben, umrühren, damit es von der Lösung durchtränkt wird, und ein paar Stunden warten.
Auf eventuelle Farbunterschiede in der Wolle und in der Lösung achten!
Anhand der weißen Farbe der Wolle lässt sich die Adsorption von Cu2+ -Ionen erkennen.
Füllen eines Bechers mit Wolle und Kupfersulfatlösung
Anrühren von Wolle und Kupfersulfatlösung in einem Becherglas
Ein Becherglas mit Wolle und Kupfersulfatlösung
Einen Kupfer-Teststreifen verwenden, um die Kupfermenge in jedem Becher zu bestimmen.
Die Streifen in die Lösungen legen, etwa 20 Sekunden warten und die Färbung beobachten.
Anhand der Farbveränderung der verschiedenen Lösungen lässt sich die Veränderung der Kupferkonzentration in Gegenwart der Wolle feststellen.
Ergebnisse
In dem Becherglas ohne die Wolle ist der Streifen intensiv violett gefärbt, was auf eine hohe Kupferkonzentration hinweist.
In dem Becherglas mit der Wolle ist der Streifen rot gefärbt, was auf eine niedrige Kupferkonzentration hinweist.
- Lösungen: Kupfersulfatlösung
- Färbung der Streifen: Violett
- Konzentration der Lösung: 1,25 mmol/L
- Lösungen: Lösung von Kupfersulfat und Wolle
- Färbung der Streifen: Sehr helles Rosa
- Konzentration der Lösung: 10-20 mg/l (die Farbe und folglich die Konzentration hängen auch von der Reaktionszeit ab)
Um die Kupfermenge in der Lösung zu messen, können halbquantitative Teststreifen für Kupferionen verwendet und eine spektroskopischen Reihe wie folgt erstellt werden:
Fünf Reagenzgläser mit verdünntem Kupfer(II)-sulfat gemäß der folgenden Tabelle vorbereiten. Die Lösungen müssen gut gemischt sein.
| Rohrnummer | 1 | 2 | 3 | 4 | 5 |
| Volumen der Kupfer(II)-sulfatlösung [cm3] | 8 | 6 | 4 | 2 | 0 |
| Volumen des gereinigten Wassers [cm3] | 2 | 4 | 6 | 8 | 10 |
10 cm3 der Kupferlösung aus den zwei Bechergläsern (das Becherglas mit der Wolle und das andere ohne Wolle) in ein zwei weitere Reagenzgläser gießen.
Jetzt wird die Farbe des Reagenzglases aus dem Experiment A (Absorption von Cu2+ aus Wolle) mit denen aus der spektroskopischen Reihe verglichen. Welche Farbe stimmt am besten überein?
Diskussion
1. Welche Färbung nahm die Wolle an, nachdem sie in Kupfersulfat getränkt wurde? Warum?
Die Wolle erscheint grau/blau, weil sie Cu2+-Ionen adsorbiert hat.
2. Ermittele die Menge an Kupfer, die von der Wolle während der Inkubationszeit aufgenommen wurde.
Die Menge an Kupfer kann durch Vergleich der Farben der Streifen geschätzt werden.
3. Bist du der Meinung, dass die Zeit eine Variable ist, die bei der Beurteilung der Absorptionsfähigkeit der Wolle berücksichtigt werden muss? Wie könntest du dies überprüfen?
Wiederholen Sie den Versuch, indem Sie verschiedene Streifen zu unterschiedlichen Zeiten in die Lösung tauchen.
4. Entwirf ein Experiment, um die Menge an Wolle zu messen, die benötigt wird, um eine bestimmte Menge an Kupfer zu absorbieren, oder wiederhole das Experiment, indem du Becher mit unterschiedlichen Mengen an Wolle verwendest, die zuvor in denselben Kupferkonzentrationen abgewogen wurden.
Autor*innen von Die 3 Rs – Produkte der Zukunft : Anders Florén (SE), Iro Koliakou (GR), Maria Zambrotta (IT)
Links zum Weiterleiten an Ihre Schüler*innen
1. Alle Videos
Weiteres Unterrichtsmaterial
Die Unterrichtseinheit ‘Farbchemie mit dem Smartphone’ verrät, wie Schülerinnen und Schüler mit dem Smartphone den genauen Kupferanteil einer Lösung ermitteln können: www.science-on-stage.de/farbchemie
“Green hydrolysis conversion of wool wastes into organic nitrogen fertilisers” LIFE12 ENV/IT/000439. LIFE+GREENWOOLF 2016 (Juli 2022)
Claudio Tonin, Ricerca e innovazione per nuovi (ri) utilizzi della lana: il progetto LIFE + GREENWOLF,48 CNR ISMAC, 2015. (Juli 2022)
https://www.textileschool.com/330/microscopic-appearance-of-fibres (Oktober 2022)
Dr, I. Fergani “Proprietes physicochimiques des proteines” Universite 3 Constantine Faculte de medicine department de medicine 1 ere annee medicince 2017 (Juli 2022)
Weitere Informationen zum Schafbestand und zur Wollproduktion finden Sie hier: "World sheep numbers & wool production" IWTO Market Information Ed.17 (Juli 2022).
Diese Seite teilen